PUBLICATIONS

Papers, blogs and otherwise.


Bootstrap Themes

Writings on the Wall 2: Good Data Bad Data

Jordan Smith

November 4, 2023

Dev Blog
Bootstrap Themes

Real-World Performance of Autonomously Reporting Normal Chest Radiographs in NHS Trusts Using a Deep Learning Algorithm on the GP Pathway (2023)

Jordan Smith, Tom Naunton Morgan, Paul Williams, Qaiser Malik, Simon Rasalingham

July 11, 2023

Research Paper
Bootstrap Themes

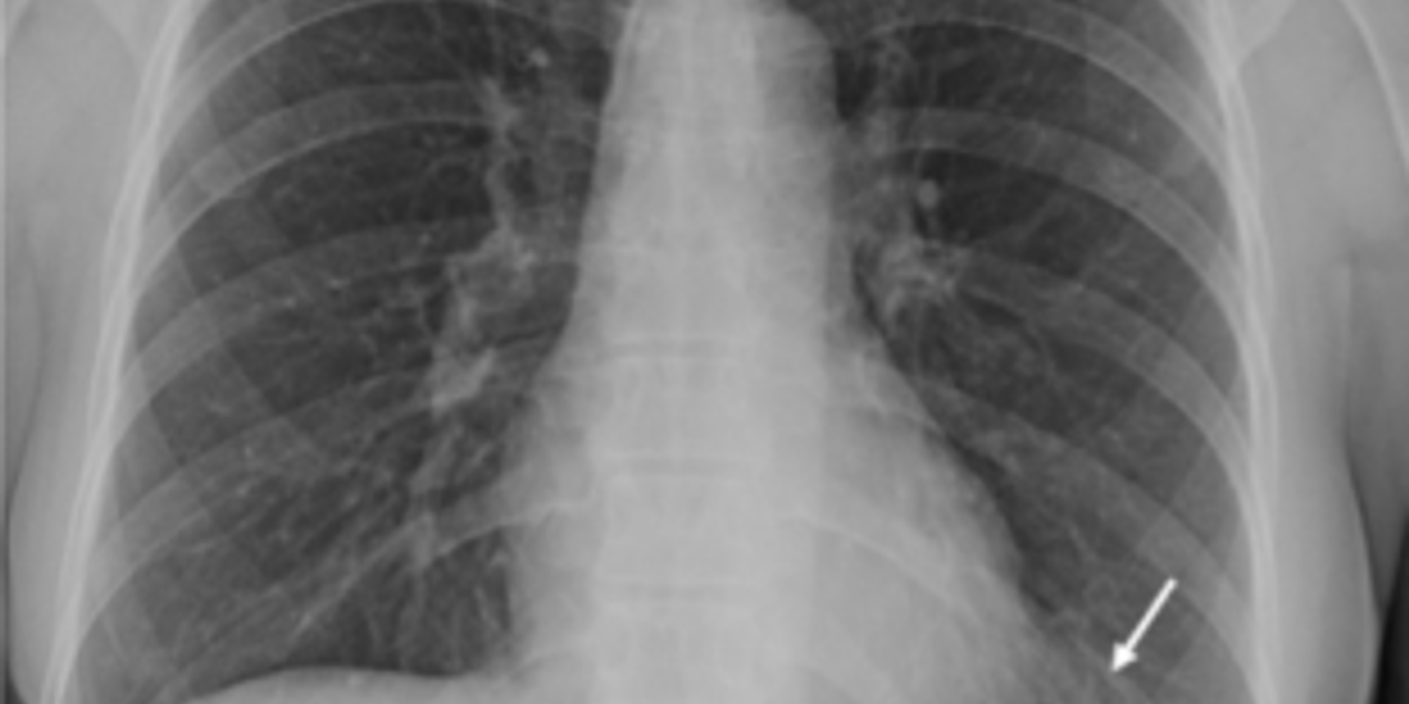
Robustness of an Artificial Intelligence Solution for Diagnosis of Normal Chest X-Rays (2022)

Tom Dyer, Jordan Smith, Gaetan Dissez, Nicole Tay, Qaiser Malik, Tom Naunton Morgan, Paul Williams, Liliana Garcia-Mondragon, George Pearse, Simon Rasalingham

August 31, 2022

Research Paper
Bootstrap Themes

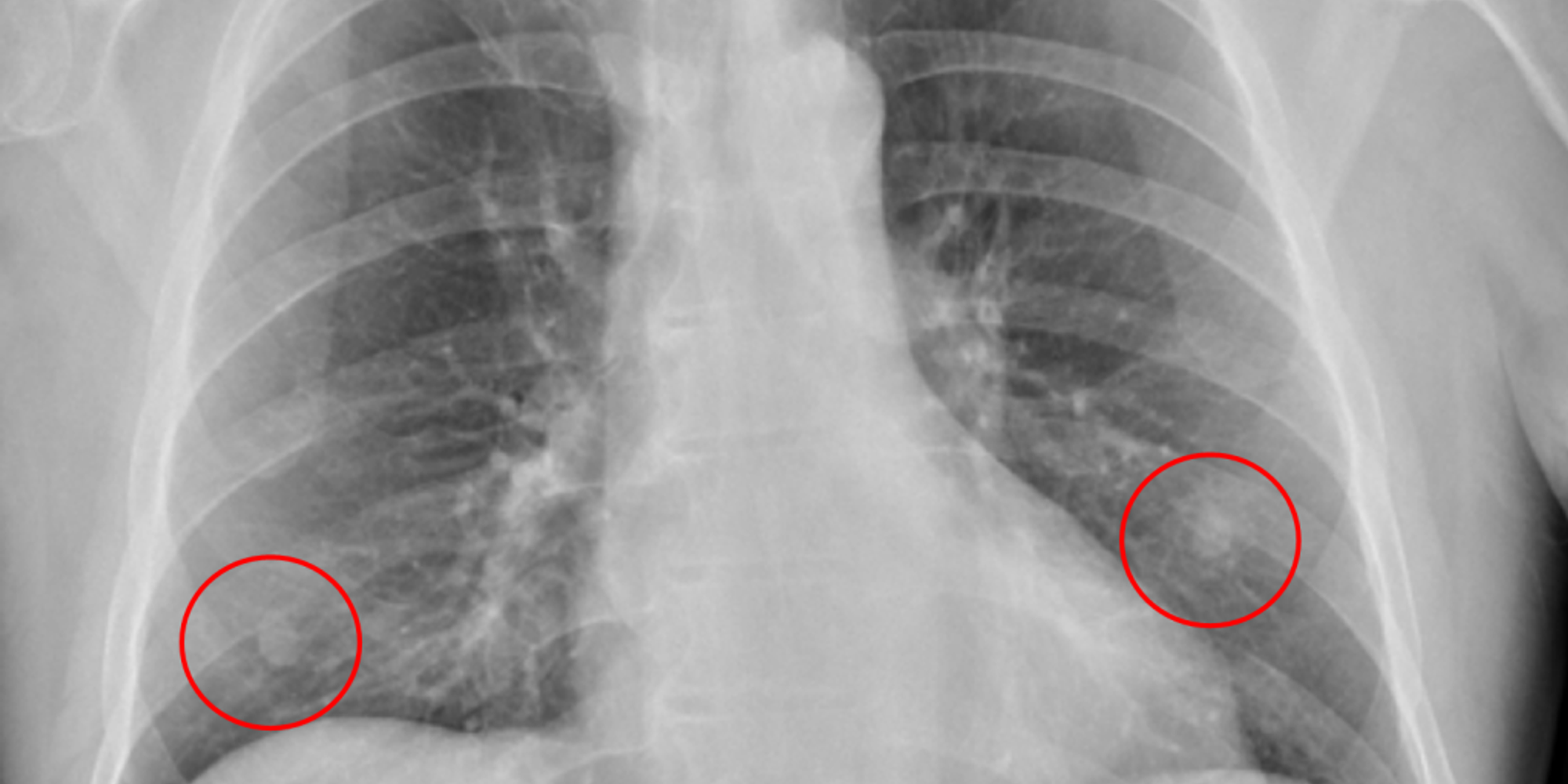
Enhancing Early Lung Cancer Detection on Chest Radiographs with AI-assistance: A Multi-Reader Study (2022)

Gaetan Dissez, Nicole Tay, Tom Dyer, Matthew Tam, Richard Dittrich, David Doyne, James Hoare, Jackson J. Pat, Stephanie Patterson, Amanda Stockham, Qaiser Malik, Tom Naunton Morgan, Paul Williams, Liliana Garcia-Mondragon, Jordan Smith, George Pearse, Simon Rasalingham

August 31, 2022

Research Paper
Bootstrap Themes

Implementing red dot® for the Covid-19 pandemic

Liliana Garcia Mondragon, Dr Nicole Tay, Tom Dyer, Gaëtan Dissez, George Pearse and Jordan Smith

August 31, 2022

Professional Blog
Bootstrap Themes

Nipples and Nodules: Reducing Overcalls in AI Classification of Suspected Lung Cancer

Jordan Smith, Gaëtan Dissez, Tom Dyer, George Pearse, Liliana Garcia Mondragon and Dr Nicole Tay

August 25, 2022

Professional Blog
Bootstrap Themes

Leveraging red dot® to tackle radiology backlogs

Dr Nicole Tay, Tom Dyer, Gaëtan Dissez, Liliana Garcia Mondragon, George Pearse and Jordan Smith

August 10, 2022

Professional Blog
Bootstrap Themes

Real-world performance of Behold.ai's red dot® chest x-ray solution

Liliana Garcia Mondragon, Jordan Smith, Dr Nicole Tay, Tom Dyer, Gaëtan Dissez and George Pearse

August 5, 2022

Professional Blog
Bootstrap Themes

CARE4CF: A Progressive Web App for Logging Daily Activities (Microsoft)

Jordan Smith

September 21, 2021

Dev Blog